“Diş kaplaması” yapılacak. Bunun kalitesi veya çeşidi var mı?
Yoksa kaplama kaplamadır. Hepsi aynı mıdır? Diş kaplamalarının birbirinden farkı far mı acaba? Bunu ben bilemem ki. Ben ilk defa diş kaplama yaptırıyorum. Sadece diş kaplamasının ne olduğunu biliyorum.
Başka bir şey bilmiyorum ama “en iyi diş kaplamasını” yaptırmak isterim. En iyi diş kaplamasından kastım;
Uzun süre kullanabileceğim bir diş kaplaması olmalı. Çünkü sürekli diş kaplamamdaki problemler ile uğraşamam.
Bir de takılan kaplamanın kendi dişlerimin rengi ve büyüklüğü ile uyumlu olması gerekiyor.
En önemlisi de tedavi sırasında ağrı duymak istemem.
Ne çok şey istiyorum değil mi. Bütün bu soru ve sorunlarıma cevap bulduğum bir diş hekimi ile sizi tanıştırmak istiyorum. Kendi kliniğinde sessizce mucizeler yaratıyor.
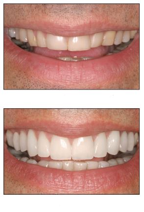
Nasıl mucize yani diyeceksiniz şimdi. diş diştir mucizesi mi olur? Olur tabi. Diş ile ilgili sorun yaşayın ve ağrıları çekin bakalım. Sonra bunlardan bir adam sizi bir günde kurtarsın. Bu mucize değildir de nedir? Annemin dişlerindeki sorunu çözmek için yaptığımız araştırmalar sonucunda bir akrabamızın tavsiyesi ile Diş Hekimi Sertaç Kızılkaya’ya ulaştık. Şimdi burada kendi dişlerimi anlatayım. Başka bir yazıda annemin implant diş sorunlarından ayrıntılı bir şekilde bahsederim.
Diş Kaplama Nasıl Olmalı?
Öncelikle diş neden kaplanır bunu bilmek lazım. Benim dişim mesele kanal tedavisi olduğu için kaplama gerekti. Dişler bazen eyri olduğu için bazen eksik dişler bulunduğu için bazen de büyüklüklerinin orantısız olduğu için kaplana biliyor imiş. Diş kaplamasında en önemli konu yüzünüz ile orantılı olması. Bazen bütün dişleri kaplamak gerekebiliyor. Bazen de sadece bir kaç kişi kaplayarak sorun ortadan kaldırıla biliyor. Yapılacak diş kaplaması yanında hastanın kendi dişleri var ise kaplamanın büyüklüğü ve rengi bu diş kaplamasına göre ayarlanıyor. Diş kaplamalarından beklenen diğer önemli bir konuda iyi fonksiyon yapması. Yani iyi bir çiğneme sağlayabilmesi dış kaplamasının taşıması gereken en önemli özelliklerin başında geliyor. Estetik fonksiyon ve konuşma için son derece önemli olan bir uygulama aslında diş kaplama uygulaması. Bu nedenle tecrübeli ellerde kaliteli malzeme ve işçilik ile yapılması gerekiyor.
Hem malzeme hem kalite hem tecrübe dediğimizde de bunun bir bedeli oluyor. Bütün bunları ucuz fiyatlar ile alabileceğini zannetmesi insanın kendini kandırması demektir aslında. Ucuz bir diş kaplama yaptırdığınız da yaşayacağınız sorunlar sadece moralinizi bozmakla kalmaz sağlığınızı da bozabilir. Bu nedenle size şimdiden uyarmış olayım. Bir çok hastanın yaptırdığı diş kaplamasını memnun kalmadığı için söktürüp yeniden yaptırmak zorunda kaldığını da bilmenizi isterim.
Diş Kaplama Fiyatı
Porselen diş kaplama fiyatları ile zirkonyum diş kaplama fiyatlarını karşılaştırdığımızda zirkonyum diş kaplama fiyatları daha yüksek fiyatlar ile uygulanmaktadır. Bunda yukarda da bahsettiğimiz gibi malzemenin kalitesi ve kliniğine maliyetleri etkili olmaktadır. İyi yapılmış bir dış kaplamasını uzun seneler kullanacağımızı düşündüğüzde ödediğiniz ücretin karşılığını aldığınızı göreceksiniz.
